هیأت بورد رادیولوژی
-
اخبار
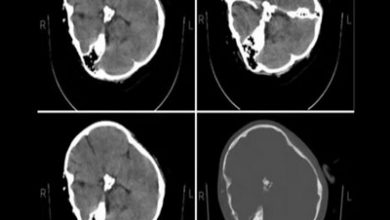
بیانیه متخصصان رادیولوژی درباره سی تی اسکن مهسا امینی
آکام نیوز: متخصصان نرورادیولوژی هیأت بورد رادیولوژی وزارت بهداشت در پاسخ به استعلام ریاست سازمان نظام پزشکی درباره تصاویر «سی…
بیشتر بخوانید »
آکام نیوز: متخصصان نرورادیولوژی هیأت بورد رادیولوژی وزارت بهداشت در پاسخ به استعلام ریاست سازمان نظام پزشکی درباره تصاویر «سی…
بیشتر بخوانید »